جراحة تقويمية لراس مثلثة في طفل عمر شهرين

جراحة تقويمية لراس مثلثة في طفل عمر شهرين

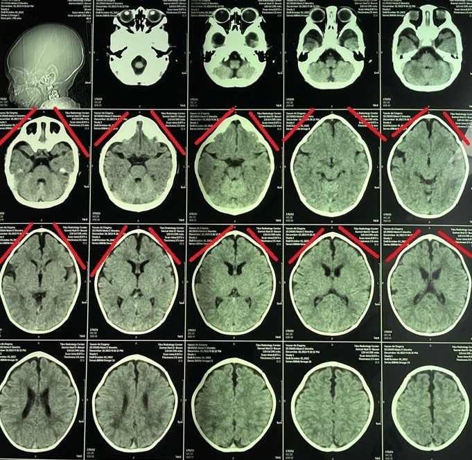
جراحة تقويم الرأس المثلث لطفل رضيع

تم إجراء جراحة تقويم ناجحة لطفل يبلغ من العمر شهرين كان يعاني من حالة تعرف باسم "الرأس المثلث". هذا النوع من التشوهات الجمجمية يؤدي إلى ظهور الرأس بشكل مثلثي مع وجود نتوء بارز في الجبهة. الهدف من الجراحة كان تصحيح شكل الجمجمة لضمان النمو الطبيعي للدماغ وحماية الطفل من المشاكل المستقبلية.

أبرز أعراض الحالة

  • شكل جمجمة مثلثي غير طبيعي
  • وجود نتوء عظمي واضح في مقدمة الجبهة
  • عدم تناسق واضح في شكل الرأس

الهدف من الجراحة

  • إعادة تشكيل عظام الجمجمة لتصحيح الشكل المثلثي
  • إزالة النتوء العظمي البارز في الجبهة
  • توفير مساحة كافية لنمو الدماغ بشكل طبيعي
  • منع المضاعفات المستقبلية المتعلقة بالنمو

مميزات الإجراء المتبع

  • استخدام أحدث التقنيات الجراحية الآمنة للأطفال الرضع
  • نهج متكامل يشمل فريقاً متعدد التخصصات
  • تخطيط دقيق مسبق باستخدام التصوير ثلاثي الأبعاد

مرحلة التعافي والمتابعة

  • مدة التعافي سريعة نظراً لصغر عمر الطفل
  • متابعة منتظمة لمراقبة تقدم الشفاء
  • نمو طبيعي للرأس بعد الجراحة
  • نتائج إيجابية مستدامة على المدى الطويل