101 - St. 9 in front of the National Bank - next to Maadi Metro Station - Cairo
غلق
+201006707137 info@dr-ramadanshamseldien.com
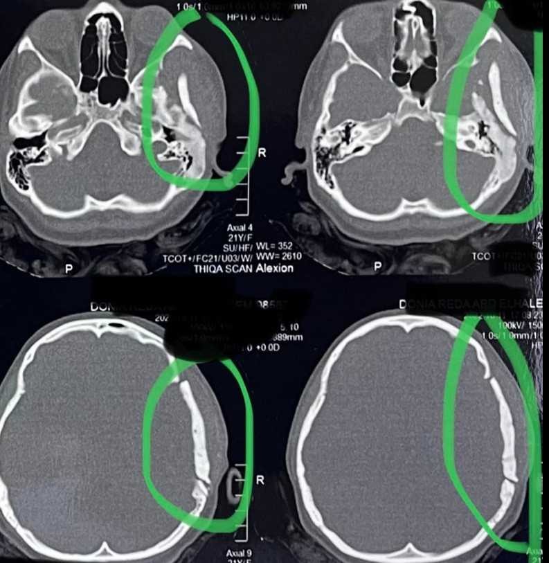
مرض ورم تنسج ليفي عظمي بفتاة واحد وعشرين عاما

fibroplasia of bone disease in a twenty-one-year-old girl

A 21-year-old female suffering from bone fibrous dysplasia was diagnosed and treated. This disease is characterized by the growth of benign bone tumors in multiple body areas, which can affect motor function and cause chronic pain.

Key Symptoms of the Condition:

  • Chronic bone and joint pain

  • Appearance of palpable bone lumps or protrusions

  • Difficulty in movement or walking

  • Joint stiffness especially in the morning

  • Deformities in shape of affected bones

Goal of Treatment:

  • Removal of painful bone fibrous tumors

  • Improvement of motor and joint function

  • Relief from chronic pain

  • Prevention of future complications

  • Restoration of normal quality of life

Advantages of Treatment Program:

  • Accurate diagnosis using advanced imaging

  • Advanced surgical techniques for tissue preservation

  • Comprehensive integrated treatment approach

  • Multidisciplinary team for optimal care

Recovery and Follow-up Period:

  • Specialized rehabilitation program post-surgery

  • Gradual improvement in range of motion

  • Significant reduction in pain severity

  • Periodic imaging follow-up

  • Progressive return to daily activities

  • Ongoing support for optimal outcomes